Як повідомляє Головне управління Держпродспоживслужби у Чернівецькій області, на Буковині на чверть зросла кількість випадків захворювання на туберкульоз порівняно з минулим роком. Опублікувавши офіційний звіт, управління наголосило, що найвища кількість зафіксованих проблем з органами дихання по області у Сторожинецькому, Путильському та Хотинському районах. Далі на ichernivchanyn.
Статистичні дані
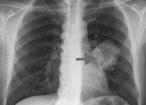
У Чернівецькій області торік кількість хворих на туберкульоз дихальних шляхів зросла майже на 25%. Це випливає із звіту Головного управління Державної служби України з питань безпечності харчових продуктів та захисту споживачів про оздоровчо-епідеміологічну ситуацію на Буковині. Зі звіту стає ясно, у 2019 році зафіксована тенденція до збільшення захворюваності на туберкульоз дихальних шляхів порівняно з 2018 роком. Рівень захворюваності збільшився на 24,1%, з них 26,5% випадків було підтверджено та зареєстровано офіційно. Ця кількість більшою мірою вирахувана по статистиці Сторожинецького, Путильського та Хотинського районів.
Дана динаміка може надалі продовжуватися і бути пов’язаною з тим, що на останній сесії Чернівецької обласної ради депутати підтримали рішення облдержадміністрації про ліквідацію трьох оздоровчих протитуберкульозних санаторіїв Буковини. Як відомо, справа із земельними ділянками, на яких розташовані лікувально-оздоровчі комплекси, знаходиться не у найкращому стані. Особливо ситуація погіршилася після нещодавнього звинувачення голові обласної ради Івану Мунтяну в отриманні хабара за землю санаторію «Брусниця».
Взагалі у зазначених районах, незважаючи за загальну тенденцію зниження захворюваності на гострі кишкові інфекції в області, Сторожинецький, Заставнівський, Кіцманський, Глибоцький та Новоселицький райони статистику псують. Суттєво зросла кількість хворих на сальмонельозні інфекції у порівнянні з аналогічним періодом 2018 року (+106 випадків або 91%). Значний ріст захворюваності зареєстрований в Путильському районі (в 40 разів) за рахунок спалаху сальмонельозу в закладах громадського харчування.
Загальні тенденції захворюваності
Крім того, у 2019 році в регіоні було зареєстровано чотири спалахи гострих кишкових інфекцій, три з яких пов’язані з діяльністю підприємств громадського харчування, а один виявили у стаціонарному оздоровчому таборі. Працівники Державної служби України з питань безпечності харчових продуктів та захисту споживачів говорять, що під час спалахів хвороб 182 людини постраждали, 71 з них діти віком до 17 років. Два спалахи були спричинені сальмонелою, ще два – невідомої етіології.
У 2019 році працівники служби видали 6 наказів та 7 штрафів на понад 50 000 гривень через різні порушення, тимчасово призупинили продовольчий рух та вилучили з обігу 15 кг небезпечної їжі. Одну людину відсторонили від роботи, а дві справи про закриття харчових заводів притягнуто до судового розбирання. Одну з них повністю задовольнили.
